Colegio de Endodoncia de Nuevo León, A. C. - Necrosis pulpar con lesión periapical.

SUPLEMENTO

 

XII CONGRESO INTERNACIONAL DE ENDODONCIA
MEMORIAS
CUARTO CONCURSO DE CARTELES
COLEGIO DE ENDODONCIA DE NUEVO LEÓN, A. C.

MONTERREY, NUEVO LEÓN. 7 Y 8 DE SEPTIEMBRE DE 2018.




Necrosis pulpar con lesión periapical.

Sara Angélica Vilchis Rodríguez, Adriana Gurria Mena, Dra. Angélica Gloria Rodríguez Sepúlveda C.D. E.E., M.E.O., Dr. Ricardo Treviño Elizondo C.D. E.E, M.E.O.

Facultad de Odontología, Universidad Autónoma de Nuevo León.


Resumen

La necrosis pulpar es la muerte del nervio del diente. Esto ocurre como consecuencia de la aparición de una inflamación aguda o crónica, la cual empieza en la zona más coronal del tejido pulpar, y que se sigue extendiendo hasta la pulpa radicular. Sin embargo, también existe la necrosis pulpar como consecuencia de un traumatismo o de la enfermedad periodontal; esto es debido al bloqueo del aporte de sangre de forma inmediata, sin que haya una inflamación previa.

Una lesión periapical es el resultado de la necrosis de la pulpa dental, es la patología que más frecuentemente encontramos en el hueso alveolar. La exposición de la pulpa dental a las bacterias y sus productos, actúa como antígenos y pueden producir respuestas inflamatorias inespecíficas así como reacciones inmunológicas específicas en los tejidos perirradiculares y causar la lesión periapical.

Palabras clave: Necrosis pupar, lesión periapical, Viarpex.


Abstract

The necrosis pulpar is the death of the nerve of the tooth. This happens as consequence of the appearance of a sharp and chronic inflammation, which begins in the most frontal zone of the fabric pulpar, and that will continue extending up to the flesh radicular. Nevertheless, also the necrosis exists pulpar as consequence of a traumatism; this is due to the blockade of the contribution of blood of immediate form, without there is a previous inflammation.

An injury periapical is the result of the necrosis of the dental flesh, they are the pathologies that more frequently happen found in the alveolar bone. The exhibition of the dental flesh to the bacteria and his products, acting as antigens, might produce inflammatory unspecific answers as well as immunological specific reactions in the periradicular tissues and cause the periapical injury.

Key words: Necrosis pulpar, injury periapical, Viarpex.


INTRODUCCIÓN
La pulpa dental es el tejido blando que ocupa la parte central del diente. Cuando la pulpa es alterada por enfermedades inflamatorias degenerativas nos llevan a una necrosis pulpar. Las causas principales pueden ser, agentes físicos: traumatismo, químicos: substancias que llegan al ápice a través del foramen, biológicas: microorganismos y toxinas.

Por qué puede generarse una necrosis, por una pulpitis no tratada a tiempo o ser la consecuencia inmediata de una lesión traumática que corte el aporte sanguíneo.
Cuando la necrosis pulpar no tratada se extiende más allá del agujero apical, causa inflamación del ligamento produciendo una periodontitis apical aguda.

La necrosis pulpar es la muerte del tejido pulpar. Puede ser total o parcial dependiendo de que sea toda la pulpa o una parte de ella que esté involucrada. Aunque la necrosis es una secuela de la inflamación, puede también ocurrir por traumatismos, donde la pulpa es destruida antes de que se desarrolle una reacción inflamatoria. Como resultado se produce un infarto isquémico y causar una pulpa necrótica gangrenosa seca.


El tejido pulpar necrótico tiene debris celular y bacterias en la cavidad pulpar. Puede empezar la inflamación periapical. Las lesiones periapicales, resultado de la necrosis de la pulpa dental, son las patologías que más frecuentemente encontramos en el hueso alveolar. La exposición de la pulpa dental a las bacterias, produce una respuesta inflamatoria inespecífica así como reacciones inmunológicas específicas en los tejidos perirradiculares y causar la lesión periapical.

La medicación intraconducto se caracteriza por la colocación de un fármaco en el interior del sistema de conductos entre consultas para la conclusión del tratamiento endodóntico con el objetivo de promover la desinfección y eliminación de microorganismos en el interior del conducto radicular.

En casos de canales radiculares que requieran más de una cita para finalizar el tratamiento existe la posibilidad de que las bacterias se vuelvan a desarrollar y re-contaminar el espacio del conducto radicular.

Cabe resaltar que la elección de una medicación intraconducto entre sesiones requiere de las mismas consideraciones que la aplicación de cualquier fármaco recetado por vía sistémica, por lo tanto, es necesario considerar:





La selección del fármaco debe tomar en consideración que los antisépticos capaces de controlar la infección pueden ocasionar también irritación o destrucción de los tejidos vivos periapicales; por lo tanto, se deben tomar medidas preventivas al momento de utilizarlos.

La decisión de cuándo y que usar como medicación intraconducto, depende del diagnóstico clínico y pronóstico a largo plazo. La medicación intraconducto puede estar indicada en el tratamiento de dientes por diversas razones:


1. Anatomía compleja, con múltiples zonas inaccesibles a la instrumentación, y posiblemente, a la irrigación.
2. Periodontitis con reabsorción del ápice, con cráteres en donde anidan bacterias inaccesibles al traramiento.
3. Casos de sobre instrumentación.
4. Solución irrigadora irritante sobre el 1/3 apical.
5. Por razones de comportamiento o psicológicas del paciente.


El Viarpex es una pasta a base de hidróxido de calcio y yodoformo que, además de sus cualidades terapéuticas es de fácil colocación. Esta pasta puede ser utilizada como material de obturación temporal o permanente para canales radiculares luego de una pulpectomía. Puede ser utilizado solo (temporal) o conjuntamente con gutapercha (permanente). También es ideal para el tratamiento de canales radiculares infectados y para pulpotomías en dientes deciduos.


REPORTE DE CASO
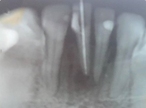
Paciente femenino de 42 años acudió a consulta tras presentar un trauma en la zona anteroinferior (pieza 4.1) con cambio de coloración, dolor persistente, aumento de volumen en la zona y no responde a las pruebas de vitalidad. En el estudio radiográfico se observó una zona radiolúcida en ápice.

Diagnóstico definitivo: Necrosis pulpar con lesión periapical.

Plan de tratamiento: Tratamiento de conductos

Descripción del tratamiento: El tratamiento de elección es un tratamiento endodontal con medicación intraconducto con Viarpex; pasta comercial de hidróxido de calcio con yodoformo. Esta medicación intraconducto se colocó y se mantuvo en el conducto durante 6 meses con citas de control cada 2 meses, junto con la ayuda de una ferulización del diente afectado con las piezas adyacentes debido a la movilidad presentada a causa de la lesión periapical. Finalmente se obturó la pieza 4.1 con la técnica de condensación lateral.

Resultados: Los resultados del análisis clínico mostraron una favorable recuperación y radiográficamente cambio en la zona apical de la pieza 4.1, sin presencia de dolor y disminución de volumen aumentado.




CONCLUSIÓN
La necrosis pulpar fue provocada por un trauma en los incisivos centrales inferiores y gracias a la historia clínica se llegó al diagnóstico que dio como resultado necrosis pulpar con lesión periapical asignando el tratamiento de conductos; el trauma dental es una causa común de lesión y perdida dental, ocurre como consecuencia de caídas, accidentes de tránsito, actos de violencia y por la participación en diversos deportes. Estas lesiones tienen un serio impacto en el desarrollo de la dentición.


REFERENCIAS BIBLIOGRÁFICAS
• Vitapex. (2018). Medicamento para canales radiculares (radio-opaco). Neo Dental International INC. Obtenido en: www.neodental-intl.com/pdf/spanish/vitapex_maual. pdf.

• Rivas Muños, Dr. Ricardo. (2013). Unidad 7: Patología pulpa. Necrosis pulpar. Notas para el estudio de Edodoncia. Obtenido en: http://www.iztacala.unam.mx/~rrivas/NOTAS/Notas7Patpulpar/nectipos. html.

• García Rubio, A., Bujaldón Daza A.L y Rodríguez Archilla A. (2015). Lesiones periapicales. Diagnóstico y tratamiento. Obtenido en: http://scielo.isciii.es/scielo.php?script=sci_arttext&pid=S0213-12852015000100005.

• Instituto Odontológico Maxilofacial de Madrid. (2016). Necrosis Pulpar. ¿Qué es la necrosis pulpar? Obtenido en: https://iomm.es/necrosis-pulpar/.

• Olarte Alzamora, Alberto Antonio. (2014). Microbiología Endodóntica. Obtenido en: http://revistas.unimagdalena.edu.co/index.php/duazary/article/view/267.

• López Marcos y Joaquín Francisco. (2014). Etiología, clasificación y patogenia de la patología pulpar y periapical.

• Rodríguez Gutiérrez, Genné Dra.; Dra. Marina Álvarez Llanes, Dr. Joel García Boss, Dra. Sury Arias Herrera y Maheli Sarabia. (2005). El hidróxido de calcio: su uso clínico en la endodoncia actual. Obtenido en: Revista Achivo Médico de Camaguey vol.9 no.3, Versión Online ISSN 1025-0255. http://scielo.sld.cu/scielo.php?script=sci_arttext&pid=S1025-02552005000300016.



Autores de correspondencia:
Colegio de Endodoncia de Nuevo León, A. C.
Dr. Héctor Jiménez González.
carteles@cenl.com.mx
Dra. Fanny López Martínez.
fannylopezendodoncia@yahoo.com


Fecha recibido: 27 de Septiembre 2018.
Fecha aceptado para publicación: 15 de Octubre de 2018.



El presente resumen forma parte del suplemento "Memorias del Cuarto Concurso de Carteles del Colegio de Endodoncia de Nuevo León, A. C." es responsabilidad de los organizadores de dicho evento, la Revista Mexicana de Estomatología es ajena al contenido científico, metodológico y de autoría de cada uno de los resúmenes que se presentan. El Suplemento se publica como apoyo a las agrupaciones de profesionales, profesionistas, estudiantes, maestros e instituciones educativas y/o de servicio en la difusión de sus trabajos.


Revista Mexicana de Estomatología.
Vol 5, No 2 - Suplemento - Diciembre 30 de 2018.
ISSN: 2007-9052

www.remexesto.com


 



ISSN: 2007-9052

Indexada en Latindex.

Indexada en Google académico.

Indexada en INFOMED - Cuba.

Indexada en REDIB - España.

Http:www.remexesto.com

 


Contador y estadísticas gratis para su sitio web en www.motigo.com